CABINET DENTAIRE TA DENT
Implantologie - Esthétique - Omnipratiques

12 rue pierre ponot
69400 Limas

CABINET DENTAIRE TA DENT
Implantologie - Esthétique - Omnipratiques

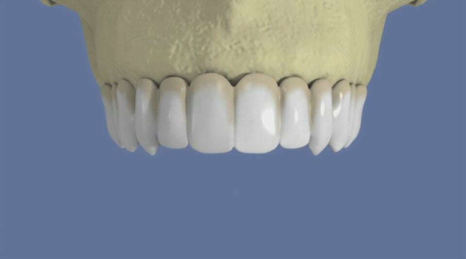
Maxillaire : bridge vissé sans fausse gencive


video-play-icon

Articles similaires

Création par Webdentiste

Connexion